General dentistry
We know the value of a healthy smile and do our best to make sure yours lasts a lifetime.
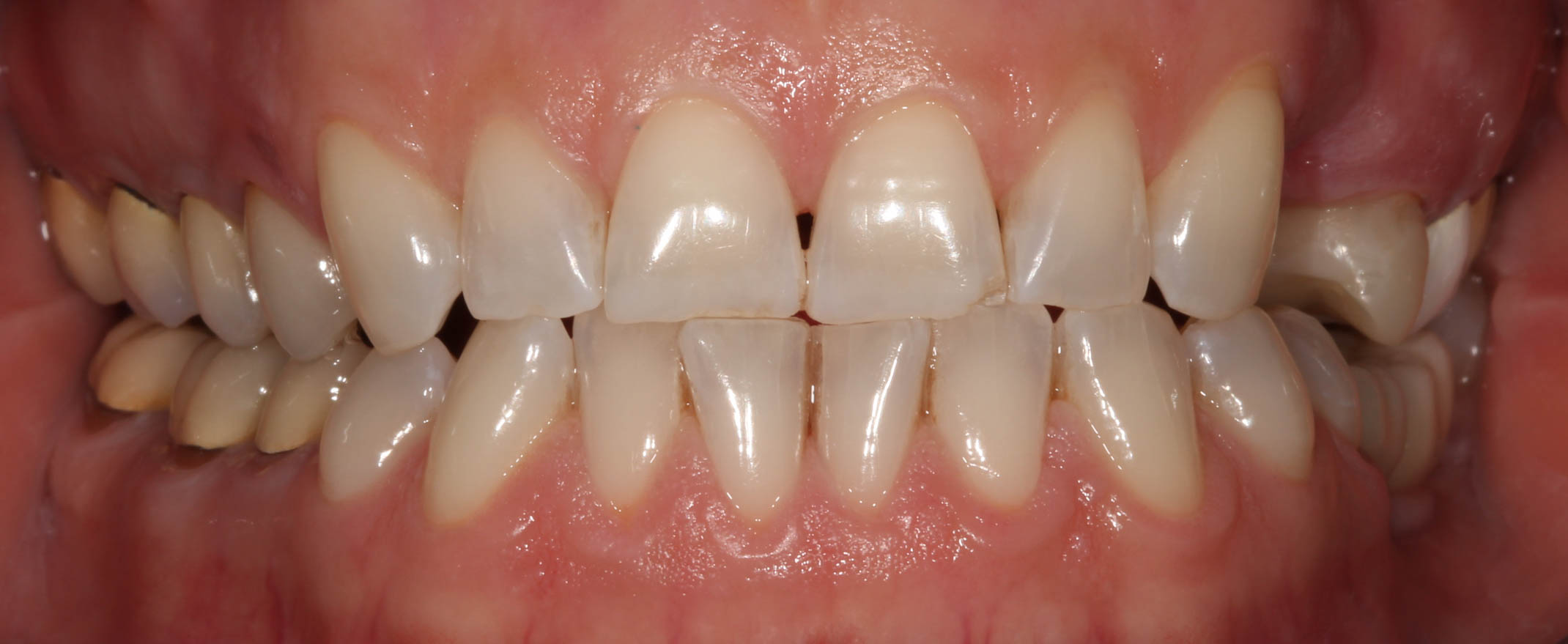
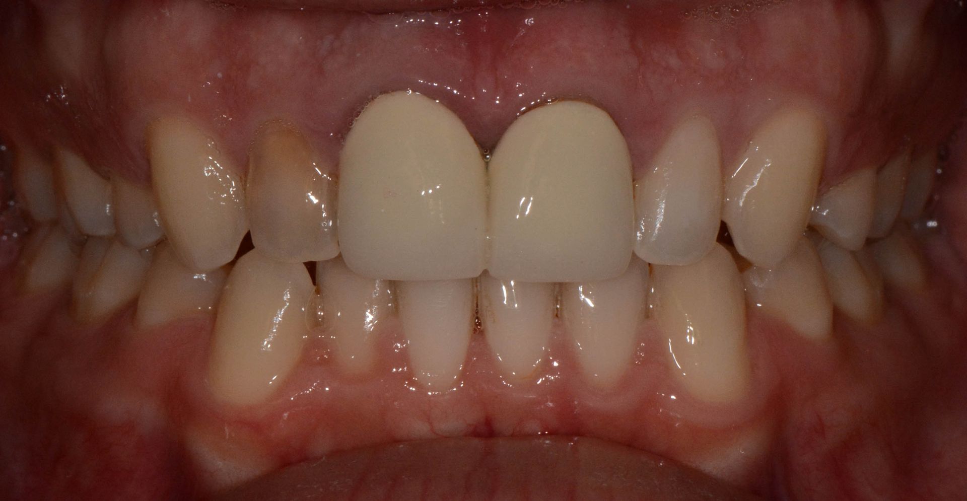
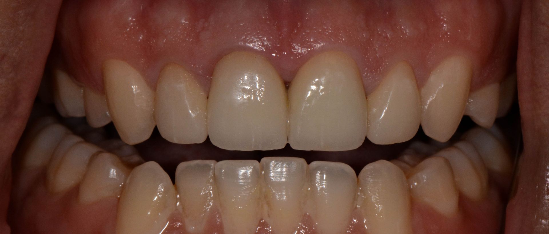
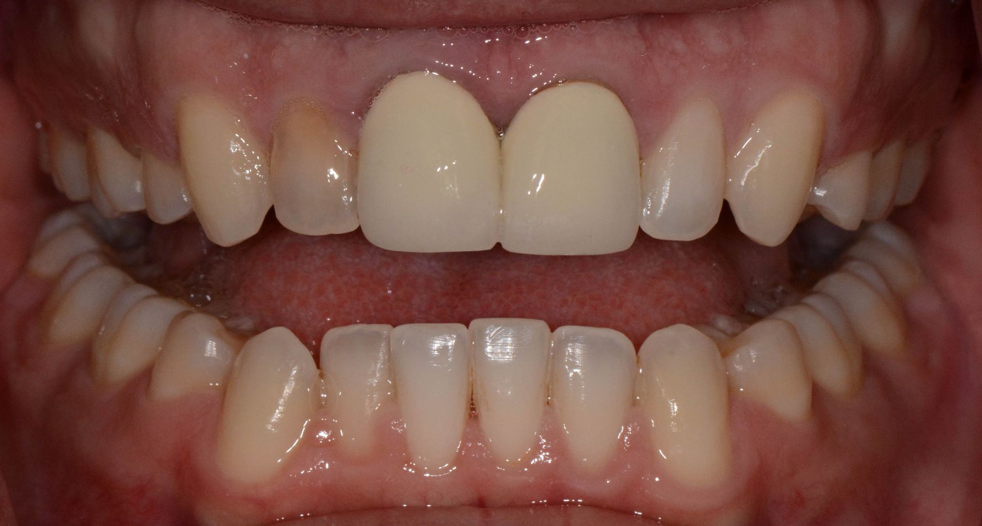
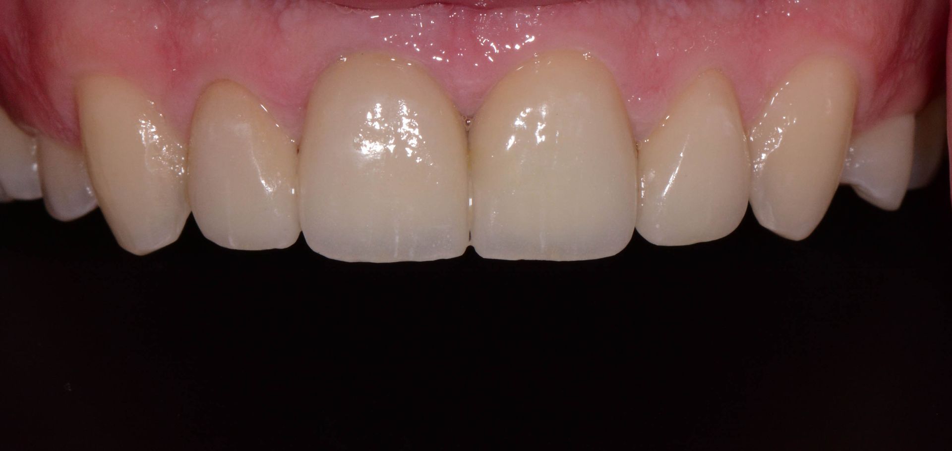
Crowns
Restore strength, function, and appearance to damaged teeth with custom dental crowns. Whether your tooth is cracked, worn down, or has a large filling, a crown fits over the entire tooth like a protective shell. We use high-quality materials such as porcelain, zirconia, or metal alloys to ensure durability and a natural look. All crowns are fabricated using high-quality all ceramic or porcelain fused to gold to ensure durability and a natural appearance.
Benefits of Dental Crowns:
- Reinforces and protects weak or damaged teeth
- Restores bite strength and functionality
- Matches the color and contour of your natural teeth
- Can be used after root canals or with implants for restoration
The Crown Process:
- Digital scanning or impressions of your tooth
- Custom fabrication for perfect fit and aesthetics
- Final placement and adjustment for comfort and longevity

Bridges
Benefits of Dental Bridges:
- Fills gaps in your smile and improves overall aesthetics
- Restores proper bite alignment and function
- Maintains facial structure by preventing bone loss
- Keeps surrounding teeth from shifting into the space
Types of Dental Bridges:
- Traditional Bridges: Anchored to natural teeth on either side of the gap
- Cantilever Bridges: Used when there is only one adjacent tooth for support
- Implant-Supported Bridges: Attached to dental implants for added stability
The Bridge Process:
- Examination and digital imaging to assess the area
- Preparation of anchor teeth or implant placement
- Custom fabrication of the bridge to match your natural teeth
- Final placement and adjustment for comfort and durability

Porcelain Inlays/Onlays
Porcelain inlays and onlays are custom-crafted restorations used when a filling isn’t enough and a full crown isn’t necessary. Inlays fit within the grooves of the tooth, while onlays extend over one or more cusps. These restorations are bonded to the tooth to restore strength, function, and appearance—preserving more natural tooth structure than a crown.
Benefits of Inlays and Onlays:
- Durable and long-lasting with high resistance to wear
- Aesthetic match to natural teeth
- Conservative alternative to full crowns
- Helps protect and strengthen the remaining tooth structure
The Inlay/Onlay Process:
- Assessment and removal of damaged tooth structure
- Digital impressions for precise fabrication
- Custom porcelain inlay or onlay is created in a dental lab
- Final placement and bonding for a seamless fit and natural appearance

Implant Restorations
Dental implant restorations are the final step in your implant journey—bringing function, aesthetics, and confidence back to your smile. Once your implants are placed, we create custom-designed restorations such as crowns, bridges, or full-arch prosthetics that attach securely to the implants.
Benefits of Implant Restorations:
- Look, feel, and function like natural teeth
- Permanent and stable—no slipping or adhesives needed
- Help preserve bone and maintain facial structure
- Improve chewing ability, speech, and overall oral health
Types of Implant Restorations:
- Single-Tooth Crowns: Replace one missing tooth with a custom implant crown
- Implant Bridges: Restore multiple missing teeth with a bridge supported by implants
- All-on-X: Full-arch restorations supported by as few as four implants
The Restoration Process:
- Assessment and 3D imaging to ensure implant integration
- Digital impressions for precise custom design
- Fabrication of the final restoration to match your natural teeth
- Secure attachment and bite adjustment for comfort and function
FAQ
-
Can I walk in without making an appointment in advance?
While we recommend scheduling ahead, we always do our best to accommodate emergencies. If you’re experiencing dental pain or need urgent care, please call us first — we’ll do everything we can to fit you in the same day.
-
What should I do if I have a dental emergency?
Describe the item or answer the question so that site visitors who are interested get more information. You can emphasize this text with bullets, italics or bold, and add links. -
Are you accepting new patients?
Describe the item or answer the question so that site visitors who are interested get more information. You can emphasize this text with bullets, italics or bold, and add links. -
Do you accept my insurance?
We accept most major PPO dental plans. Call us with your insurance details and we’ll help verify coverage before your appointment.
-
What if I don’t have dental insurance?
No problem. We offer transparent, fixed pricing and flexible payment options. Ask about our in-house savings plans.
-
How often should I see the dentist?
We recommend a checkup and cleaning every six months — but some patients may need more frequent visits depending on their oral health.
-
What services do you provide?
We offer general dentistry, cosmetic treatments, dental implants, cleanings, whitening, crowns, dentures, and more — all in one location.
-
Are dental X-rays safe?
Yes. We use low-radiation digital X-rays that are fast, safe, and essential for accurate diagnosis and treatment planning.
-
Will my procedure hurt?
We take your comfort seriously. Most procedures are pain-free, and we offer gentle techniques, numbing, and sedation options when needed.
-
Do you treat kids?
Absolutely. We provide gentle, kid-friendly care starting from their first tooth and throughout adolescence.
-
How do I know if I need a root canal?
If you have constant pain, sensitivity to heat/cold, or swelling, a root canal may be necessary. Only an exam can confirm this — call us to schedule one.
-
How do I schedule an appointment?
You can call our office, request an appointment online, or stop in — whichever is easiest for you.



